歯内療法専門医による、
感染根管にさせない
精密根管治療&再根管治療
虫歯を放置して虫歯菌が歯の内部の歯髄にまで深く感染すると、歯が傷んだり、時には頬が腫れることもあります。放置しても治ることはなく、悪化するだけです。歯の内部や骨が溶けてしまう前に、早急に治療が必要です。
root
虫歯を放置して虫歯菌が歯の内部の歯髄にまで深く感染すると、歯が傷んだり、時には頬が腫れることもあります。放置しても治ることはなく、悪化するだけです。歯の内部や骨が溶けてしまう前に、早急に治療が必要です。
根管治療は、歯の中にある神経まで達するむし歯があり、炎症や感染を起こしてしまっている場合、歯茎が腫れてしまっている場合、歯が折れてしまった場合、過去に神経を取った歯の根の先が膿んできた場合などに行います。
根管治療は建物に例えると、基礎工事の部分に当たります。どれだけきれいな建物があっても、基礎工事が不十分だと建物は長持ちしないのと同じように、きれいな被せ物が入っていても根管治療に不備があると、痛みが出る、歯茎が腫れる等の不具合が出てきます。
虫歯が進行し、歯の中心を通っている歯髄(神経と血管)が感染して炎症を起こしている状態です。進行すると激しい痛みを伴うこともあります。
根管が感染し、炎症が起きて膿が溜まっている状態です。歯を支える顎の骨(歯槽骨)が溶けて破壊されてしまうこともあります。
歯髄炎が進行し、歯の神経が死んでしまっている状態です。根管治療や抜歯が必要になるケースもあります。
国内で一般歯科における根管治療(歯内療法)の成功率は30~50%と言われており、処置が不十分だと患部の悪化や再発のリスクが伴う難しい治療です。
当院では、2022年3月現在、全国で226名しかいない希少な専門医が2名在籍しており、歯内療法専門機関で経験を積んだ医師による治療と最新の治療機器、設備によって成功率の高い、確実な治療を行います。
1.古い詰め物やかぶせ物、虫歯を除去し細菌が入らないようにします。
2.器具をつかって、根管の汚れの原因である部分を除去します。
3.器具をつかって、根管の汚れの原因である部分を除去します。
4.器具をつかって、根管の汚れの原因である部分を除去します。
一見すると失敗が起こりにくそうな根管治療ですが、保険診療では扱えない治療機器や薬剤などが多くあり、その違いが治療の成功率に大きく影響しています。下記は一般の保険診療と、専門治療による自由診療の比較です。
| 成功率の 要因 |
一般の保険診療 | 根管専門治療 |
|---|---|---|
| 診断・治療の精度 | 目視での確認 ・レントゲン使用 小さな病変の 見落としリスク高い |
マイクロスコープ・歯科用CT使用 極小の病変も見逃さず 治療精度が高い |
| 感染対策 | なし 感染・治療失敗 リスク高い |
ラバーダム 防湿使用 唾液や細菌の侵入を防ぐ |
| 根管内を 清掃する 器具 |
使用制限あり (ステンレス等) 根管内を傷つける リスク高い |
ニッケルチタン 使用 柔軟性が高く根管内を 丁寧に洗浄 |
| 根管内の 充填 |
ガッタパーチャ (ゴム) ゴム製なので 封鎖性が低い |
MTAセメントなど 症状に合わせて 的確に使用 |
| 治療時間 ・回数 |
4~8回 (治療時間短い) 再発のリスクが高い |
治療期間の短縮 少ない治療回数で 成功率が高い |
当院では、自由診療にて専門医による根管専門治療を行なっておりますので、保険の枠にとらわれず、患者さまの症状に合わせたベストな方法で精密根管治療を行います。

自発痛の有無など問診票にご記入頂いた内容に基づきカウンセリングをし、お口の中を拝見させていただきます。
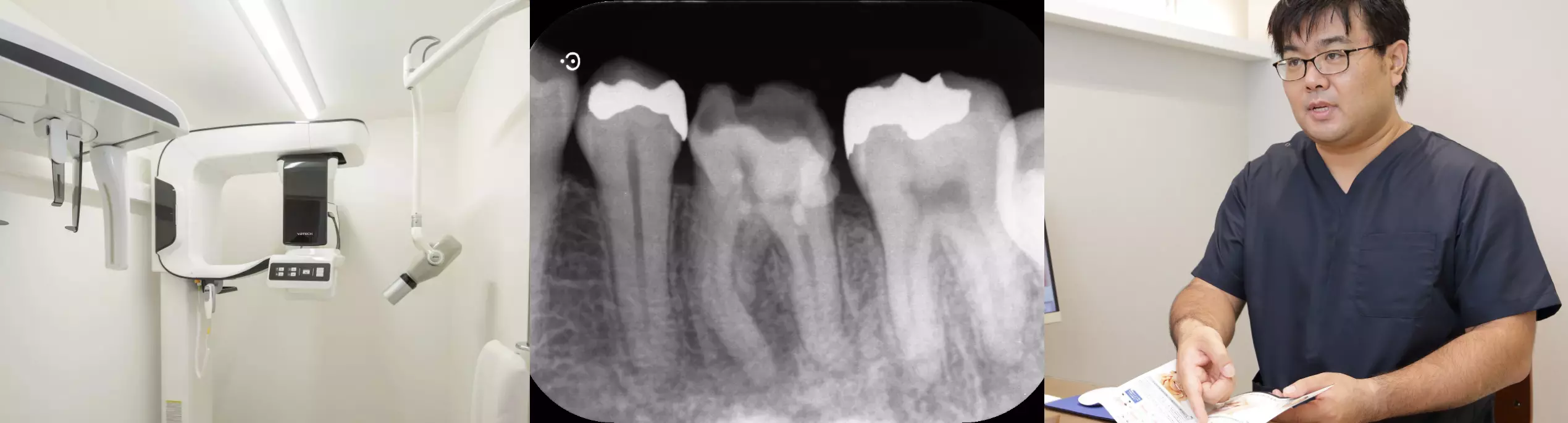
患歯となる歯を最新の歯科用CTによりパノラマX線写真、デンタルX線写真などで細かな部分まで特定し、歯髄や歯根の周囲の診断をいたします。症状の度合いから、専門医が今後の治療計画を綿密に提案・説明させていただきます。
根管治療が失敗する原因の1つとして挙げられるのが、細菌の侵入による再発感染で、保険診療では感染対策を行わないことがほとんどです。
専門治療である当院ではラバーダムというゴム製のシートで、細菌の侵入を完全にシャットアウトして治療を行います。
これにより、できる限り無菌的な環境で治療を行うことができるため、治療の精度が上がります。

根管の形状は途中で枝分かれしていたり、非常に複雑な形をしております。この根管内の奥まで治療が及ぶ場合、目視での治療は病変の取り残しなどの可能性も高く、治療精度を大きく落とします。
そこで当院では、歯科用顕微鏡であるマイクロスコープで20倍以上に拡大した視野を確保しながら、精密な治療を行います。実際に根管の状態を見ながら治療しますので、根管治療よりも壊死した神経を見落とすことが少なくなり、結果的に成功率の大きな向上につながります。
根管内は、ファイルと呼ばれる針のような器具を使って、病変を除去します。保険診療ではステンレス製の硬い器具を使い、根管を傷つけるリスクも心配されますが、当院では形状記憶合金であるニッケルチタン製の器具を使うことでカーブした部分や、複雑な根管にも柔軟にマッチして汚れた部分を丁寧に除去していきます。専用のモーターを使用するので治療時間の短縮にもつながります。
根管内で再び細菌が活動しないようにするため、根管充填をしてまいります。充填法には種類があり長所・短所があるので、当院では症状に合わせて垂直加圧根管充填法や側方加圧根管充填法といった多様な治療法にて治療をしてまいります。
根管が太くなっていたり、虫歯による炎症の際に用いるMTAセメントは殺菌性・封鎖性・生体安全性に優れており、これらの充填剤は再発リスクの大きな低下につながっています。
一般的な根管治療では出来る処置も限られており、1回の治療時間が20分前後で5〜8回と何度も通院が必要となるため、成功率の低下や再発のリスクが高まってしまいます。
当院は治療時間を60分と十分に確保し、1回で専門的な治療を十分に行い、通常2〜3回の通院で治療が完了するため、治療期間も短くなります。
治療前
治療後
歯の根元が押すと痛み。
被せ物を外さずに外科的に根の先の膿を摘出。
切開した跡もなく治癒しました。
治療前
治療後
咬むと痛み。歯茎の腫れ。
ブラッシング指導、SRPを行いました。治療後、歯肉は健康なピンク色に改善し、引き締まっています。現在定期検診で現状を維持しております。
再根管治療、歯根端切除術などでも改善が見込まれず、患者様のQOLの向上や精神的な負担を考慮した場合、インプラント治療をされた方が良い場合もございます。
患者様の口腔の状態を鑑みながらアドバイスやご相談を承っております。また、当院ではインプラント治療の推奨は最終手段として位置付けております。
歯の神経が死んでしまうと、痛みが感じなくなることもありますが、放置してしまうと病状が進行し(骨が溶けてしまう)、治療も困難になってきてしまいます。不安な気持ちもあると思いますが、出来るだけ早めに治療を行うことがベストです。
事前に十分な局部麻酔を行いますので、強い痛みを感じることなく治療を受けて頂きます。麻酔が苦手な場合も、細い針を使用してゆっくり麻酔をかけるなど、なるべく痛くないようにしますのでご安心下さい。
※治療後は多少の痛みが出ることもあります。
精密検査やカウンセリングを含めると、初診では60分前後の時間を設けております。治療に関する十分な説明や処置など、初めての方に不安なく受けて頂くための必要な治療時間ですので、どのようなことでもご相談頂き、十分に納得して頂いた上で治療を受けていただければと思います。